Complicaciones.

      Carátula.

      Resumen.

      Referencias.

      COMPLICACIONES
      (Lesiones superpuestas)

      Lesiones inconstantes y variables que agravan el pronóstico del proceso básico. Pueden ser lesiones con agresividad (actividad) o lesiones que representan evolución hacia la irreversibilidad (cronicidad). La mayoría de las complicaciones que se ven en la glomerulonefritis lúpica están enlistadas en la clasificación de la OMS como "lesiones activas" y "lesiones esclerosantes". Complicaciones no enlistadas y rara vez evaluadas, son las lesiones superpuestas de otras nefropatías usualmente no asociadas patogenéticamente al LES (Ej: Gloméruloesclerosis diabética).

      Complicaciones con actividad (CA): Necrosis, trombosis, semilunas activas, ruptura de la membrana basal capilar, deposición de fibrina, proliferación endotelio-mesangial, infiltración de células inflamatorias, cuerpos hematoxilínicos (muy raros), trombos hialinos (son diferentes de las asas de alambre), depósitos tubulares o vasculares, vasculitis, microangiopatía trombótica, degeneración tubular y necrosis, nefritis intersticial aguda linfoide. De acuerdo a su agresividad y extensión estas complicaciones pueden ser leves (grado 1), moderadas (grado 2) y severas (grado 3).

      Complicaciones con cronicidad (CC): Fibrosis y/o esclerosis glomerular, semilunas fibróticas, inflamación crónica intersticial, atrofia tubular, fibrosis intersticial, esclerosis vascular. De acuerdo a su extensión estas lesiones pueden ser tempranas (estadío 1: < 25%), intermedias (estadío 2: 26-50%) ó avanzadas (estadío 3: 51-100%) (OMS clase VI).

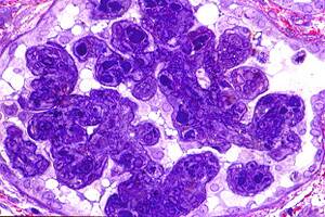
      Fig# 10. GNMB I, CA3, CC1 (OMS ?). GNMB y semilunas epiteliales. Fibrosis temprana < 25%. MOAR 400X.

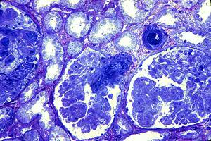
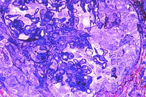
      Fig# 11. GNMB I. CA 1, CC2, y DM (OMS VB). GNMB y proliferacion mesangial y nefrosclerosis diabética (OMS ?). MOAR 400X.

      Fig# 12. GNPP III. CA3, CC1 (OMS IVC?):
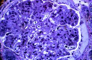
      GNPP III con trombosis, necrosis, proliferación celular. Fibrosis temprana <25%. MOAR 200 X.

      Fig# 13. GNPP III. CA3, CC1 (OMS IVB,C?): GNPP con GNMP, y trombos hyalinos y fibrosis temprana. MOAR 400X.

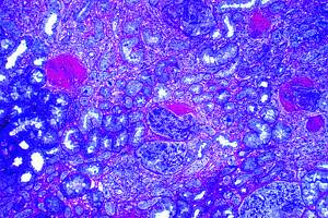
      Fig# 14. GNPP III. CA3, CC2 (OMS ?): GNPP III y nefritis tubulointersticial con depósitos tubulares. Fibrosis intermedia. MOAR 800X.

      Fig# 15. GNPP III. CA2, CC3 (OMS VI?): GNPP III con semilunas epiteliales < 50%, semilunas fibrosas >50% . Fibrosis >50%.

      INDICES DE ACTIVIDAD Y CRONICIDAD EN LA GLOMERULONEFRITIS LUPICA

      Primer paso, lesión básica: Registrar el tipo de lesion básica y su grado:
      (Ej. GNPP grado III)
      .

      Segundo paso, complicaciones: Decidir si hay o no complicaciones. Si no hay complicaciones asignar el número 0 (CA 0, CC 0). Si hay complicaciones asignarles grado a las lesiones activas (CA) y estadío a las lesiones crónicas (CC) (Ej. Necrosis y semilunas en más del 50% de los glomérulos = Grado 3 (CA 3); Fibrosis intersticial y atrofia tubular en menos del 25% del parénquima cortical = Estadío 1 (CC 1).

      Tercer paso, informe de Patología: Incluye la lesión básica y su grado, las complicaciones con su grado ó estadío, y clase OMS (aconsejable). Ej: Glomerulonefritis Pleomórfica Panglomerular grado III. Complicaciones activas grado 3. Complicaciones crónicas estadio 1 (OMS clase IV). Forma abreviada: GNPP III, CA 3, CC1, (OMS IV). Si existen lesiones no relacionadas con LES y son significativas, éstas deben agregarse al final del informe patológico. Ej: Nefroesclerosis isquémica avanzada (arterio, arterioloesclerosis), Esclerosis focal y segmental con hylinosis, Nefropatía diabética.

      Arriba.